آنچه در این مطلب خواهید خواند
خطر سرطان معده
در حاملان واریانت پاتوژنیک CDH1، خطر مادامالعمر ابتلا به سرطان معده منتشر (Diffuse Gastric Cancer) تا سن ۸۰ سالگی در مردان بین ۳۷ تا ۷۰ درصد و در زنان بین ۲۵ تا ۸۳ درصد گزارش شده است [1–4]. میانگین سن بروز سرطان معده در این افراد بین ۳۸ تا ۸۰ سال متغیر است و کمسنترین مورد گزارششده در ۱۴ سالگی بوده است [1–3,5,6].
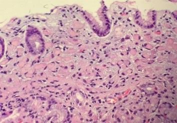
نکتهی مهم این است که سرطان معده منتشر در حاملان واریانتهای پاتوژنیک CDH1 اغلب بهصورت کانونهای میکروسکوپی متعدد از کارسینوم سلولهای انگشتری (Signet Ring Cell Carcinoma) آغاز میشود. سرطان معده منتشر ارثی (Hereditary Diffuse Gastric Cancer; HDGC) از ناحیهی گردن غدد معده منشأ میگیرد (نه از اپیتلیوم سطحی)، در حالی که دیسپلازی ناشی از عوامل محیطی و التهابی معمولاً در سطح اپیتلیوم ایجاد میشود. این کارسینومهای سلول انگشتری بهصورت منتشر اما تدریجی به مخاط و زیرمخاط معده مجاور نفوذ میکنند.
تظاهر بالینی و سیر بیماری در سرطان معده منتشر مرتبط با CDH1 مشابه سرطان معده منتشر اسپورادیک است. در صورت شناسایی ضایعات پیشساز در آندوسکوپی، درمانهای کمتهاجمی میتوانند مدنظر قرار گیرند؛ با این حال، بیشتر ضایعات در حال رشدِ سلول انگشتری مرتبط با HDGC تا رسیدن به مراحل پیشرفته قابل شناسایی نیستند. HDGC بهصورت کانونهای متعدد سلولهای انگشتری که در سراسر معده پراکندهاند آغاز میشود. مشخص نیست که آیا چنین الگویی در سرطان معده منتشر اسپورادیک نیز رخ میدهد یا خیر.


خطر سرطان پستان
در جمعیت عمومی، اغلب سرطانهای پستان از نوع داکتال هستند و حدود ۱۰ درصد از نوع لوبولار میباشند [7]. در مقابل، در زنان دارای واریانت پاتوژنیک CDH1 در رده زایا (ژرم لاین)، بیشتر سرطانهای پستان از نوع سرطان پستان لوبولار تهاجمی (Invasive Lobular Carcinoma; ILC) هستند [8–10]. برآورد نفوذپذیری (penetrance) برای ILC تهاجمی در این زنان تا سن ۸۰ سالگی بین ۳۹ تا ۵۵ درصد گزارش شده است [1–3,11].
مطالعات نشان دادهاند که خطر ILC از پیش از ۳۰ سالگی افزایش مییابد و میانگین سن شروع بیماری بین ۴۶ تا ۵۰ سال است [2,4]. ویژگیهای هیستوپاتولوژیک و ایمونوهیستوشیمی ILC مرتبط با CDH1 ژرملاین از ILC اسپورادیک قابل تمایز نیستند [9].
بهطور کلی، ILC تمایل به چندکانونی بودن (Multicentric) دارد و تومورها معمولاً تودههای مشخص و محدود تشکیل نمیدهند. در عوض، از سلولهای اپیتلیال کوچک و نفوذی تشکیل شدهاند که بهصورت منفرد و در الگوی تکردیفی خطی (Single-file pattern) در زمینهی استرومای فیبروتیک پراکندهاند. در ILC، بیان مولکول چسبندگی بینسلولی E-cadherin از دست میرود [12].
ILC اغلب در زمان تشخیص در مرحله پیشرفتهتر قرار دارد و در ۱۰ تا ۱۵ درصد موارد دوطرفه است [12,13]. بسیاری از ویژگیهای ILC با پیشآگهی نسبتاً خوب همراهاند، زیرا این تومورها معمولاً درجه پایین، گیرنده استروژن (ER) مثبت و HER2 منفی هستند.[14] با این حال، در مقایسه با سرطان پستان داکتال، ILC خطر عود دوردست پس از ۱۰ سال بالاتری دارد.[13] همچنین تمایل به متاستاز به محلهای غیرمعمول مانند دستگاه گوارش و مننژها دارد [15].
راهنماهای درمانی ILC در حاملان واریانتهای CDH1 تفاوتی با دستورالعملهای درمانی ILC اسپورادیک ندارند [16].
منبع:
- Pharoah PD, Guilford P, Caldas C, et al.: Incidence of gastric cancer and breast cancer in CDH1 (E-cadherin) mutation carriers from hereditary diffuse gastric cancer families. Gastroenterology 121 (6): 1348-53, 2001. [PUBMED Abstract]
- Roberts ME, Ranola JMO, Marshall ML, et al.: Comparison of CDH1 Penetrance Estimates in Clinically Ascertained Families vs Families Ascertained for Multiple Gastric Cancers. JAMA Oncol 5 (9): 1325-1331, 2019. [PUBMED Abstract]
- Xicola RM, Li S, Rodriguez N, et al.: Clinical features and cancer risk in families with pathogenic CDH1 variants irrespective of clinical criteria. J Med Genet 56 (12): 838-843, 2019. [PUBMED Abstract]
- Hansford S, Kaurah P, Li-Chang H, et al.: Hereditary Diffuse Gastric Cancer Syndrome: CDH1 Mutations and Beyond. JAMA Oncol 1 (1): 23-32, 2015. [PUBMED Abstract]
- Delgado E, León-Ponte M, Villahermosa ML, et al.: Analysis of HIV type 1 protease and reverse transcriptase sequences from Venezuela for drug resistance-associated mutations and subtype classification: a UNAIDS study. AIDS Res Hum Retroviruses 17 (8): 753-8, 2001. [PUBMED Abstract]
- Caldas C, Carneiro F, Lynch HT, et al.: Familial gastric cancer: overview and guidelines for management. J Med Genet 36 (12): 873-80, 1999. [PUBMED Abstract]
- Li CI, Anderson BO, Daling JR, et al.: Trends in incidence rates of invasive lobular and ductal breast carcinoma. JAMA 289 (11): 1421-4, 2003. [PUBMED Abstract]
- Corso G, Intra M, Trentin C, et al.: CDH1 germline mutations and hereditary lobular breast cancer. Fam Cancer 15 (2): 215-9, 2016. [PUBMED Abstract]
- Corso G, Figueiredo J, La Vecchia C, et al.: Hereditary lobular breast cancer with an emphasis on E-cadherin genetic defect. J Med Genet 55 (7): 431-441, 2018. [PUBMED Abstract]
- Masciari S, Larsson N, Senz J, et al.: Germline E-cadherin mutations in familial lobular breast cancer. J Med Genet 44 (11): 726-31, 2007. [PUBMED Abstract]
- Kaurah P, MacMillan A, Boyd N, et al.: Founder and recurrent CDH1 mutations in families with hereditary diffuse gastric cancer. JAMA 297 (21): 2360-72, 2007. [PUBMED Abstract]
- Mouabbi JA, Hassan A, Lim B, et al.: Invasive lobular carcinoma: an understudied emergent subtype of breast cancer. Breast Cancer Res Treat 193 (2): 253-264, 2022. [PUBMED Abstract]
- Pilonis ND, Tischkowitz M, Fitzgerald RC, et al.: Hereditary Diffuse Gastric Cancer: Approaches to Screening, Surveillance, and Treatment. Annu Rev Med 72: 263-280, 2021. [PUBMED Abstract]
- Rakha EA, El-Sayed ME, Powe DG, et al.: Invasive lobular carcinoma of the breast: response to hormonal therapy and outcomes. Eur J Cancer 44 (1): 73-83, 2008. [PUBMED Abstract]
- Lamovec J, Bracko M: Metastatic pattern of infiltrating lobular carcinoma of the breast: an autopsy study. J Surg Oncol 48 (1): 28-33, 1991. [PUBMED Abstract]
- National Comprehensive Cancer Network: NCCN Clinical Practice Guidelines in Oncology: Breast Cancer. Version 4.2023. Plymouth Meeting, Pa: National Comprehensive Cancer Network, 2023. Available online with free registration.Exit Disclaimer Last accessed October 25, 2024.
تهیه و تنظیم: سید طه نوربخش
نظارت و تأیید: فائزه محمدهاشم-متخصص ژنتیک